Wnt信号通路广泛存在于无脊椎动物和脊椎动物中,是一类在物种进化过程中高度保守的信号通路。Wnt信号在动物胚胎的早期发育、器官形成、组织再生和其它生理过程中,具有至关重要的作用。如果这条信号通路中的关键蛋白发生突变,导致信号异常活化,就可能诱导癌症的发生。Wnt信号通路包括非经典通路(平面细胞极性(PCP)通路和Wnt/Ca2+通路)和经典Wnt/β-catenin通路。经典的Wnt通路会导致β-连环蛋白在细胞质中积累并最终会作为属于TCF的转录因子的转录共激活因子/ LEF家族易位至细胞核。探索经典Wnt/β-catenin通路在肿瘤中特异性的调控基因及分子机制对于肿瘤的早期诊断及药物靶点和临床研究具有重要的意义。
2023年7月3日,湖北工业大学细胞调控与分子药物“111”引智基地唐景峰/周策凡团队在国际肿瘤学领域权威期刊《Oncogene》发表题为“Phosphorylated PTTG1 switches its subcellular distribution andpromotes β-catenin stabilization and subsequent transcription activity”的研究论文。湖北工业大学唐景峰和周策凡为本文通讯作者。2019级硕士研究生张学文为论文第一作者。该研究得到课题组国家自然科学基金项目(32270768、32070726、82273970、31871176)、湖北省重点研发计划项目(2022EHB038)、湖北省创新群体计划项目(ZRQT2023000075)、武汉市科技计划项目(2022020801020272)资助。

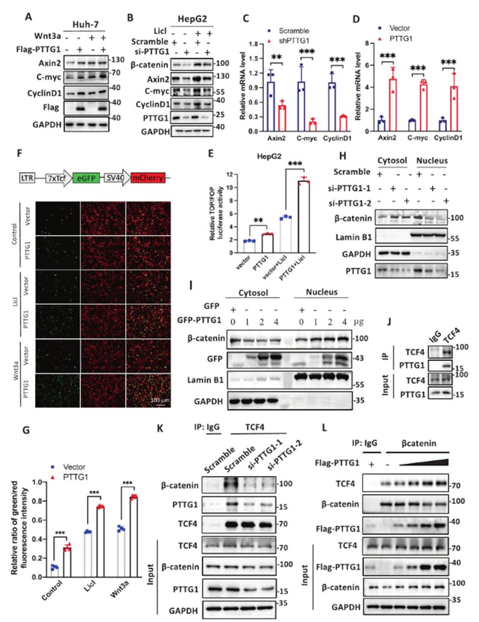
PTTG1作为最初从垂体肿瘤细胞中分离出来的癌基因,在包括肝癌在内的多种癌症中高表达。有研究表明PTTG1的细胞质定位在正常组织中较为常见,而核定位主要在癌变发生区域,提示其核易位与肿瘤的发生和侵袭密切相关。PTTG1在有丝分裂、DNA损伤和修复、细胞凋亡、基因调控等细胞过程中具有多种功能,例如,PTTG1的异常表达导致非整倍体和遗传不稳定,使细胞恶化发展。同样,PTTG1也被报道能够作为β-catenin的转录激活靶点,但其具体机制尚不清楚。本研究首次发现PTTG1作为Wnt信号通路正向调控因子,在细胞质内与β-catenin蛋白的400-530位的Arm repeats结构直接结合,通过抑制β-catenin降解复合体的组装,从而促进稳定的β-catenin入核,激活下游靶基因的表达。

图1 PTTG1正向调控Wnt通路。
此外,该团队发现PTTG1在其S161、S171位点具有磷酸化修饰,而且PTTG1蛋白的亚细胞定位依赖于其自身的磷酸化状态。即磷酸化的PTTG1更容易转位到细胞核,反之亦然。该团队进一步筛选并证明了磷酸酶PP2A可以对PPTG1-S165、S171位点进行去磷酸化作用,抑制PTTG1的核累积。更重要的是,磷酸化的PTTG1能够同时增强β-catenin蛋白进入细胞核的能力,进而促进其与TCF4的结合,导致Wnt通路靶基因的激活。

图2 PP2A抑制PTTG1入核,其核质分布依赖于PTTG1的磷酸化状态。
进一步地,该团队还阐明了PTTG1与GSK3β竞争性的与PP2A结合,阻止PP2A介导的GSK3β去磷酸化,导致失活形式的GSK3β水平升高,从而间接促进β-catenin的稳定性。最后,他们以肝癌细胞和斑马鱼作为模型,揭示了PTTG1在促进肝癌细胞的增殖和迁移以及不良预后方面的关键作用。

图3 PTTG1调控Wnt信号通路的分子机制模式图
综上所述,该研究工作阐明了PTTG1调控Wnt信号通路的分子机制,以及对PTTG1磷酸化核易位的研究提供了关键的见解,为临床上肝癌的早期诊断和有效治疗提供潜在靶点。
https://www.nature.com/articles/s41388-023-02767-7